
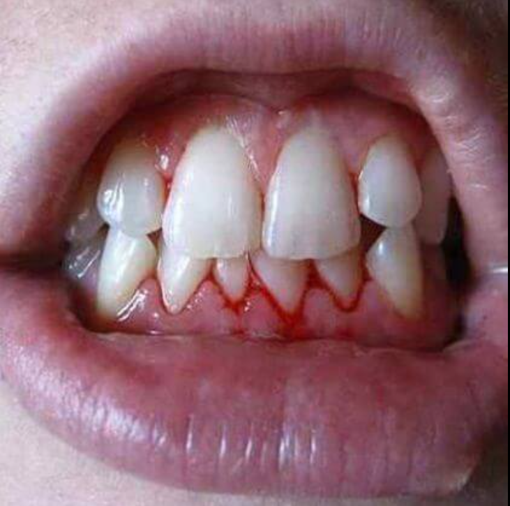
40대 이후, 갑자기 잇몸에서 피가 나거나 붓고 ‘치아가 흔들리는 느낌’이 든 적 있으신가요?
단순히 칫솔질이 부족해서라기보다는 호르몬 변화와 뼈 건강(골다공증)이 잇몸 상태에 깊이 영향을 미치기 시작하는 시기입니다.
특히 폐경기를 앞두거나 이미 지나신 여성이라면, 잇몸 건강을 가볍게 생각하기엔 더 이상 여유가 없습니다.
이번 글에서는 40·50대 이상 중년층이 꼭 알아야 할 잇몸관리 핵심 요령을, 키워드인 “잇몸건강”, “폐경기 잇몸”, “골다공증 잇몸뼈”, “치주질환”을 중심으로 풀어드립니다.
✅ 중년층 잇몸이 약해지는 이유
1. 호르몬 변화 → 잇몸 방어력 약화
여성은 사춘기, 월경기, 임신기, 폐경기 등에서 성호르몬 변화가 잦으며, 이러한 변화가 잇몸질환 위험을 높인다는 연구가 있습니다. 예컨대 폐경기를 기점으로 에스트로겐이 급격히 줄어드는 시점에는 잇몸의 혈류가 저하되고 잇몸조직의 방어능력이 떨어져, 이로 인해 잇몸 염증과 치주질환이 더욱 쉽게 발생할 수 있습니다. 또한 성호르몬은 잇몸 혈관을 확장시키고 치주세균의 증식을 촉진할 수 있다는 보고도 있습니다. 결국 40대 이상 여성에게는 단순히 칫솔질을 더 열심히 한다고 해결되는 문제가 아니라, 몸 전체의 호르몬 변화와 연계된 잇몸관리 대책이 필요합니다.
2. 골다공증과 잇몸뼈(치조골)의 관계
‘잇몸’이라 하면 일반적으로 잇몸 조직만 생각하기 쉽지만, 잇몸 아래에서 치아를 지지하는 뼈인 치조골(잇몸뼈) 또한 매우 중요합니다. 이 치조골이 약해지면 치아가 흔들리거나 빠지게 되는 위험이 증가합니다. 특히 골다공증이 있을 경우 잇몸뼈도 영향을 받아 치주질환의 리스크도 커집니다. 따라서, 40대 이후 잇몸관리에서는 ‘잇몸 조직’만이 아니라 ‘잇몸뼈’ 및 전신 뼈 건강도 함께 챙겨야 하는 것입니다.
3. 복합 스트레스·구강 위생 취약 환경
또한 중년 이후에는 스트레스 증가, 수면 부족, 구강 위생 관리의 소홀 등이 더해져 잇몸질환을 악화시키는 원인이 됩니다. 예컨대 스트레스를 받으면 코르티솔 호르몬이 증가하여 잇몸과 신체에 부정적 영향을 준다는 보도도 있습니다. 예전보다 입안이 자주 건조해지거나, 칫솔이 잇몸 경계부에 닿을 때 시리거나 피가 나는 느낌이 드신다면 이는 단순한 치태 문제를 넘어선 신호일 수 있습니다. 실제로 중년기에는 침 분비량이 줄어들면서 잇몸 조직이 얇아지고 잇몸퇴축이 빠르게 진행될 수 있습니다. 따라서 잇몸관리 측면에서는 단순히 칫솔·치실만으로 끝나는 것이 아니라, 생활습관·전신건강·구강건강을 함께 보는 복합 전략이 필요합니다.



✅ 잇몸건강을 지키는 생활습관
1. 정기적인 치과 검진과 스케일링
40대가 되면 ‘한 번 치과 가봤더니 이상 없던데’라는 이유로 검진을 미루기 쉽지만, 잇몸뼈 변화나 잇몸 염증은 서서히 진행됩니다. 따라서 6개월마다 스케일링이나 치근활택술 등의 전문관리를 권장받는 경우가 많습니다. 특히 골다공증이나 호르몬 치료 중이거나 이미 잇몸 상태가 좋지 않은 경우라면 치과검진 주기를 더욱 앞당기는 것이 좋습니다.
2. 칼슘·비타민D·단백질 섭취 강조
잇몸뼈(치조골)를 튼튼하게 유지하기 위해서는 뼈 건강과 직접 연결된 영양소가 중요합니다. 칼슘, 비타민D, 양질의 단백질 등은 뼈의 밀도를 유지하는 데 필수이며, 이를 통해 잇몸뼈의 약화를 예방하는 보조 수단이 됩니다.식사로는 우유·요구르트·치즈 등 유제품, 두부·생선·콩류 등의 단백질 식품, 햇볕을 통한 비타민D 합성 등이 권장됩니다. 또한 과도한 카페인·음주·흡연은 뼈 건강에 악영향을 줄 수 있으므로 중년 이후에는 이러한 습관도 점검해야 합니다.
3. 올바른 칫솔질과 잇몸 마사지 습관
잇몸관리에서 가장 기본이면서도 자주 간과되는 부분이 바로 ‘잇몸을 잘 닦는 것’입니다. 잇몸과 치아 경계부위의 치태를 제거하고, 잇몸선(잇몸과 치아 사이 자리)까지 칫솔이 잘 닿도록 위·아래·옆 방향 모두로 닦는 것이 중요합니다. 또한 하루 한 번 이상 **치실 또는 치간칫솔**을 이용해 치아 사이 공간의 찌꺼기를 제거하는 습관을 꼭 들여야 합니다. 이러한 습관이 잇몸 염증 예방과 더불어 치조골 손실 속도를 늦추는 데 기여할 수 있습니다.
4. 금연·절주·스트레스 관리
잇몸질환과 전신질환의 연관성이 연구되어 온 만큼, 금연과 절주는 잇몸건강에도 큰 영향을 미칩니다. 흡연자는 비흡연자보다 치주질환이 생길 가능성이 더 높다는 보고도 있습니다. 또한 스트레스를 줄이고 충분한 수면을 확보하는 것도 호르몬 균형을 유지하고 잇몸 조직 회복을 돕는 데 매우 유리합니다. 생활 속에서는 하루 7시간 이상 수면을 취하고, 가벼운 산책이나 스트레칭으로 혈류 개선에 신경 쓰는 것이 좋습니다.
✅ 중년층 자가진단 체크리스트
다음 항목들 중 2개 이상 해당된다면, 잇몸 건강에 적신호가 있을 가능성이 크므로 빠른 치과 상담을 권장드립니다.
- 칫솔질 할 때 잇몸에서 피가 나는가?
- 잇몸이 자주 붓거나 붉게 보이는가?
- 치아가 예전보다 흔들리는 느낌이 드는가?
- 잇몸선이 내려가면서 치아가 길어 보이는가?
- 잇몸에 고름이 생기거나 냄새·맛이 이상한 적 있는가?
- 최근 골다공증 진단을 받았거나 여성호르몬(폐경기 관련) 변화를 겪고 있는가?
이러한 증상이 나타나면 단순히 치석 제거만으로 끝내기보다는 **잇몸뼈 손상 여부**까지 확인해야 할 수 있습니다. 특히 40대 이후에는 ‘잇몸관리 = 단순 위생관리’가 아니라 ‘전신건강·호르몬·뼈건강’까지 연결된 복합관리임을 꼭 기억하세요.



✅ 치료 및 보험 정보 간략 안내
잇몸질환이 어느 정도 진행된 경우라면 다음과 같은 치료가 고려될 수 있습니다:
- 스케일링 및 치근활택술: 잇몸 위·아래의 치석 및 치태 제거
- 치주수술: 잇몸 뼈가 손상된 경우 잇몸낭을 줄이고 뼈를 재생하는 치료
- 골이식 또는 뼈재생술: 치조골이 심하게 손상된 경우 뼈를 보강하는 고난이도 치료
- 정기 유지관리: 치료 후에도 3~6개월마다 잇몸 상태 점검 및 관리가 필요
국가건강보험이 적용되는 항목도 있으므로 **치과 방문 전 비용 및 적용 범위**를 미리 확인하는 것이 좋습니다. 특히 40대 이상이라면 ‘보험 적용 여부’를 미리 문의해 금전적 부담을 줄이는 것이 현명합니다. 치료 후에는 “잇몸 뼈가 얼마나 회복되었는가” 또는 “치아를 유지할 수 있는가” 여부가 중요하므로, 치과의사와의 상담을 통해 장기 플랜을 세우는 것이 바람직합니다.
✅ 마무리
40대 이상 여성에게 잇몸관리는 단순히 “칫솔질 더 열심히”로 끝나지 않습니다.
호르몬 변화 + 골다공증 + 스트레스가 복합적으로 영향을 미치고 있으므로, 전신건강관리 + 구강위생 + 정기검진이 모두 함께 가야 합니다.
지금 자가진단 체크리스트를 한번 확인해 보시고, 이상 신호가 있다면 **치과 방문**을 추천드립니다.
잇몸이 건강해야 치아도 오래 가고, 삶의 질도 높아집니다.
이 글이 중년층의 잇몸건강 유지와 애드센스 수익화 두 마리 토끼를 잡는 데 도움이 되길 바랍니다.
입냄새 원인과 제거법 정리(+한방치료 vs 구강세정제 비교 분석)
입냄새는 단순한 구강 문제를 넘어서 대인관계, 직장 생활, 자존감에도 큰 영향을 미치는 민감한 문제입니다. 특히 40~60대 중장년층의 경우 입냄새로 인해 불편을 겪는 경우가 많은데요, 오늘은
yoohoo2025.com
워터픽 구강세정기 효과 진짜일까?(+치과위생사가 말하는 사용법과 부작용)
“치실보다 편하대요”, “시원해서 계속 쓰게 돼요”요즘 입소문 타고 있는 워터픽(구강세정기), 과연 정말 효과가 있을까요?단순히 시원한 느낌만 줄까요, 아니면 실제로 잇몸 건강에 도움이
yoohoo2025.com
잇몸 내려앉음 원인부터 회복까지(+30~50대를 위한 잇몸관리 가이드)
“거울을 볼 때 치아가 길어 보이시나요?”이는 단순한 기분 탓이 아닙니다.특히 30~50대 중년층에서 자주 발생하는 **잇몸 내려앉음(잇몸 퇴축)**은 방치하면 치아 뿌리까지 드러나며 심한 경우
yoohoo2025.com
펜션 청소 논란 청소 싫으면 3만원 추가? 퇴실시 펜션 청소비 논란 정리
“내가 비싼 숙박비 내고 왜 설거지, 분리수거까지 해야 하죠?”숙박비는 치솟는데, 그 위에 ‘퇴실 청소’가 투숙객 몫으로 떠넘겨지는 현실—이른바 펜션 청소 논란이 최근 사회적 이슈로 부
yoohoo2025.com
진서연의 NO 레티놀 세럼 추천 TOP5(+광고·협찬 없는 검증)
요즘 뷰티 제품, 특히 레티놀 세럼 고를 때 고민 많으시죠?민감성 피부도 쓸 수 있는 저자극 제품부터, 탄력·주름을 동시에 관리하는 고기능 제품까지 다양해서 선택이 어렵습니다.그런데 최근
yoohoo2025.com
'건강정보' 카테고리의 다른 글
| 가수 비도 피해가지 못한 고지혈증 40대 이상은 꼭 봐야할 예방법(+의사 설명 포함) (0) | 2025.12.12 |
|---|---|
| 젊음을 지키는 NAD로 노화 방지(+일상에서 NAD 높이는 방법) (0) | 2025.11.05 |
| 입냄새 원인과 제거법 정리(+한방치료 vs 구강세정제 비교 분석) (1) | 2025.10.31 |
| 워터픽 구강세정기 효과 진짜일까?(+치과위생사가 말하는 사용법과 부작용) (0) | 2025.10.28 |
| 잇몸 내려앉음 원인부터 회복까지(+30~50대를 위한 잇몸관리 가이드) (0) | 2025.10.24 |